前歯の歯茎の再生治療例

前歯の歯茎が下がってしまって、見た目が悪いというご相談を受けます。年々歯茎がなくなっていき、歯がどんどん長くなってしまうのを心配されてご来院されます。

前歯の歯茎の再生治療は、単に歯茎を回復させるだけでなく、綺麗な見た目にする必要もあります。歯茎を切った傷が残ってしまうと歯茎の再生治療をした意味も半減してしまいます。

今回は前歯の歯茎の再生治療を綺麗に行う治療例をご紹介いたします。

前歯と八重歯の歯茎の再生治療例

前歯の歯茎の再生
前歯の歯茎の再生

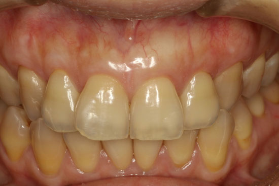
前歯の歯茎が下がってしまっているケース 

前歯の歯茎の再生
前歯の歯茎の再生

治療前

前歯の歯茎の再生
前歯の歯茎の再生

歯茎の再生治療後2週間、下がってしまっていた歯茎の部分に歯茎が覆い露出していた歯の根っこが隠れました。歯茎に傷をつけずに歯茎の再生治療を行うことができました。

前歯の歯茎の再生
前歯の歯茎の再生

再生治療後

歯茎の再生後しっかりと歯ブラシを開始した後の状態ですが、歯茎が引き締まっています。また丈夫ですので、しっかりと歯ブラシをしていただいて大丈夫です。丈夫で綺麗な歯茎を再生することができました。

前歯と八重歯の歯茎の再生治療例

前歯の歯茎の再生治療
前歯の歯茎の再生治療

前歯の及び八重歯とその隣の歯の歯茎が下がってしまってはの長さが長くなってしまっています。こういったケースでも歯茎の再生治療は可能です。

前歯の歯茎の再生
前歯の歯茎の再生

歯茎の再生治療後

前歯はオールセラミックで治療を行っております。前歯の長さが短くなっているのにご注目ください。また、歯茎の再生地利用を行なった部分の歯茎は非常に綺麗な状態で歯茎が回復しております。

下の前歯の歯茎の再生治療例

前歯の歯茎の再生
前歯の歯茎の再生

下の前歯の歯茎が下がってしまっても回復できる場合があります。歯茎が下がって下の前歯が長く見えます。こういった感じに複数の歯茎が下がってしまっても歯茎の再生治療が可能です。

前歯の歯茎の再生
前歯の歯茎の再生

下の前歯の歯茎が回復しました。

歯茎の厚みと高さが十分回復しました。

見た目の改善も非常によく喜ばれました。

出っ歯の場合の歯茎の再生治療

あなたの歯茎の退縮が出っ歯の歯の歯茎の場合、通常より歯茎の再生治療の難易度が高いと思ってください。

出っ歯の方の歯茎が下がってしまった場合、歯の根っこも歯茎から飛び出してしまっているために、歯茎の再生治療が難しいと言われています。

前歯の出っ歯の歯茎の再生治療例

治療前

前歯の歯茎の再生治療
前歯の歯茎の再生治療

前歯2本の歯茎が下がって歯が長く見えています。

前歯の歯茎の再生治療
前歯の歯茎の再生治療

歯茎から歯の根っこが飛び出してしまっています。このケースのように歯の周囲の歯茎がない場合、歯茎の再生治療が通常より難しいことが知られています。

治療後

前歯の歯茎の再生治療
前歯の歯茎の再生治療

歯茎の再生治療後2週の状態。

通常の歯茎の再生治療より大きく歯茎を移動するため、歯茎の腫れが長く続きます。場合によっては、歯茎の移植をもう一度行って歯茎の厚みをさらに増やす必要がある場合もあります。

 

歯茎の再生治療の料金のページ


前歯の歯茎の再生治療のブログ


多くの歯の歯茎が下がってしまった時にまとめて歯茎を再生させることもできます。

歯茎の薄い方や、矯正治療で抜かずに歯を広げて行った方などの中には、全体的に歯茎が下がってしまっている方がいらっしゃいます。

お忙しかったり、休暇前にまとめて行いたい、遠方からのご来院の場合など、いろいろ理由はあると思いますが、まとめて歯茎の再生治療を行いたいという方もいらっしゃいます。

当院では、まとめて歯茎の再生治療を行うことが可能です。取れる皮膚の関係で1回の治療では10本までの歯茎の再生治療が可能です。(人工の皮膚を使用してやる場合は全部の歯の歯茎の再生治療も可能です。)


まとめて歯茎の再生治療を行ったケース

全体的に歯茎が下がってしまう方
全体的に歯茎が下がってしまう方

全体的に歯茎が下がってしまう方もいらっしゃいます。

 

お写真のケースでは、上下28本の歯の歯茎が下がってしまっております。10本単位で3回の手術で全体的な歯茎の再生治療を行いました。

1回の処置では10本の歯まで歯茎の再生治療が可能です
1回の処置では10本の歯まで歯茎の再生治療が可能です

1回の処置では10本の歯まで歯茎の再生治療が可能です。

お写真は2回目の歯茎の再生治療後2週の状態です。

 

歯茎の再生治療をまとめてのページ

 

歯茎の再生治療を希望される方はただいま無料カウンセリングを行っております。この機会にご利用ください。

続きを読む

歯茎退縮の原因の一つに歯並びがあります。

歯並びが悪いと歯茎退縮が起こりやすいことが知られています。

 

歯並びの悪い部分でも歯茎の再生が可能な場合が多いのですが、あまりにも歯が飛び出してしまっている場合は歯茎の再生が困難となりますので、矯正治療などをして飛び出してしまっている歯を並べてから歯茎の再生治療を行うことをお勧めしております。

 


歯茎が下がる
歯茎が下がる

写真を見て頂くと、1本だけ歯茎退縮が起きてしまっているのがわかると思います。真ん中の歯ですね。この歯茎退縮が起きてしまっている歯は1本だけ他のはより前に根っこが飛び出しています。

この歯のように歯並びが飛び出した歯は、歯を囲む骨が無いために歯茎退縮が起こりやすい状態となります。

歯茎再生
歯茎再生

歯茎再生を行うことで、歯茎の厚みも増やして、歯茎の位置ももとの状態に回復させることができました。歯茎の厚みを増すことで将来的な歯茎の退縮を予防することができます。



本日のブログまとめ

【歯並びが悪いと歯茎が下がりやすくなる?】

 

実は、歯並びが乱れていると歯茎が退縮しやすくなることが分かっています。特に、歯が前に出ている部分は歯茎に大きな負担がかかり、歯茎が後退するリスクが高まります。

 

【歯茎の再生治療は可能?】

✅ 多くの場合、歯並びが悪くても歯茎の再生治療が可能です。

❌ ただし、歯が極端に前に出ている場合は、再生治療が難しいこともあります。

 

そのようなケースでは、最初に矯正治療を行って歯を正しい位置に整えた後、歯茎の再生治療を行うことで、自然で美しく、さらに持続性のある仕上がりを得ることができます。

 

神田ふくしま歯科では、経験豊富なドクターが歯茎の再生治療に関する無料カウンセリングを行っています。「歯茎が下がって気になる」「歯並びも一緒に整えたい」という方は、ぜひお気軽にご相談ください。

続きを読む

歯茎の退縮を回復する方法とは

あなたは歯茎の退縮をそのまま放置しておきますか?

歯茎の退縮は悪い状態です。知覚過敏などの症状が出る場合は別として、歯周病が進行してしまっている可能性があります。お早目に歯周病の状態を確認されることが大切です。

 

歯周病が進行してしまった方の歯茎の下がった状態は、歯茎だけを治しても治療結果が長持ちしません。歯周病が進行してしまっている場合は、歯を支える骨がなくなってしまっています。通常骨が歯茎を支えていますので、骨の支えを失った歯茎は自然に下がってしまいます。

 

そのため、歯周病で歯茎が下がってしまった場合は、まずは支えている骨を再生させてその後、歯茎を再生させることになります。骨の吸収に関しては、レントゲンの検査で確認する必要があります.

 

レントゲンで骨の吸収が起こっている事がわかった場合は、まずは歯周病の治療から始める事になります.また、歯周病の場合は、さらに歯茎が下がってしまうと考えられます.歯茎の下がる量を少なくするために骨の再生治療を行う事になります。

 

歯周病に関しましては下記のリンクページに詳しい内容を記載させていただいております。クリックしてご覧ください。

 

歯周病と歯茎の再生

 

詳しい検査は歯科医院の方で行う事になります.

ただいま歯茎の再生治療を希望される方は無料カウンセリングを行っております。無料カウンセリングにて治療方法のご説明、お見積りのお渡しをいたします。

無料カウンセリングお問い合わせ

神田ふくしま歯科

東京都千代田区神田鍛冶町3−2−6F スターバックス上

JR神田駅北口より徒歩1分 (東京駅の隣の駅です。)

03−3251−3921

0120−25−1839


本日のブログまとめ

【歯茎が下がってきた…放置していませんか?】

「最近、歯茎が下がってきている気がする…」そんな症状を軽く考えていませんか?実は歯茎が下がるのは、歯周病が進行している重要なサインかもしれません。知覚過敏などの不快な症状が現れるだけでなく、放置していると、歯を支える大切な骨まで失ってしまう危険性があります。

 

【歯茎だけ戻せばいい?実はそれだけでは不十分!】

歯周病が進んで骨が減ってしまった場合、単に歯茎を回復させても長く持ちません。その理由は、本来、歯茎を支えるのは骨だからです。骨が少なくなると、歯茎も自然に下がってしまいます。

 

【では、どうしたらいい?】

まずはレントゲンで歯を支える骨の状態をしっかりと確認しましょう。その結果に基づき、必要に応じて歯周病の治療を開始します。次に、失った骨を再生させて強固な土台を作り、その上で歯茎を健康な状態に回復させます。

 

【進行すると、歯茎がさらに下がるリスクがあります】

手遅れになる前に早めの治療を行い、健康で美しい歯と歯茎を守りましょう。歯茎の下がりが気になる方は、ぜひお気軽にご相談ください。


神田ふくしま歯科では、歯茎が下がってしまってお悩みの方に無料カウンセリングを行っております。

 

治療件数が豊富なドクターがお口の中を拝見して治療のご説明をいたします。無料カウンセリングはご予約制となります。

まずは、お電話か、メールフォームよりお問い合わせください。

続きを読む

歯周病でなくても歯茎の中の骨が無い場合があります.

歯を支える骨は歯茎の外からは見えませんよね。(見えてしまっていると問題です。)

 

見えないので、炎症がない場合は骨がなくても自覚症状がない場合が多く問題が起こり始まってしまっているのです。

 

特に、歯の根っこのほっぺた側のほねがなくなってしまっていることがおおいのですが、骨がないってことは、歯茎が下がってしまってしまう原因の一つになっています。

 

詳しく調べたいときは、CTをとって骨の状態を確認する場合もあります。

 


歯茎の中の骨はどうなっているの?

外科的なお写真になりますので、苦手な方はご覧にならない方が良いかもしれませんが、歯を支えている骨の現実を見たい方はご覧ください。

下のお写真は歯を支えている骨の一部に不足している部分や、欠損していることがあるというケースのご紹介です。歯茎の中を直接見て確認すると、歯の根っこが部分的にあるいは途中で骨から飛び出しているのがわかります。この方は特に歯周病の進行がない(歯周ポケットが深くない)普通の方の歯茎の中の状態です。

矯正中の歯周病
矯正治療中に歯周病が進行してしまっている事があります。

下の前歯は歯の周囲に骨が薄い事が多く、歯周病が進行しやすい状態になっております.

 

お写真の真ん中の歯だけは歯の根っこが骨から飛び出して露出してしまっています.いわゆる歯周病で歯の周囲の骨が溶けてしまった状態です.

 

このまま放置してしまうと歯周病が進行してしまいますので歯石をしっかりとお取りした上で歯の根っこの周囲に骨を再生させるように処置をいたします.

 

このケースのように症状が無いのに歯の周囲の骨が吸収してしまっている事はよくあります.

 

骨の再生治療に関しましては下記のページに詳しい内容を記載させて頂いております.ご興味のある方はクリックしてご覧ください.

 

骨の再生治療のページ

 

また、再生治療を希望される方は無料カウンセリングを行っておりますのでご利用ください.無料カウンセリングにてお口の中を拝見してから治療方法のご説明をいたします。また、再生治療は保険外診療となりますのでお見積もりをお渡しいたします.

 

無料カウンセリングお問い合わせ

神田ふくしま歯科

東京都千代田区神田鍛冶町3−2−6F スターバックス上

JR神田駅北口より徒歩1分

0120−25−1839

03−3251−3921


続きを読む

歯茎の再生が難しい部位の歯茎は下がらないように予防することをお勧めします。

下の前歯の裏側の歯茎は再生が難しい部位です

 

🔹 歯茎の再生治療が難しいエリアとは?

歯茎の再生治療はさまざまな部位で可能ですが、特に難しいのが「下の前歯の裏側」 です。

この部分の歯茎が下がってしまうと、完全に回復するのが難しい場合があります。

 

なぜ下の前歯の歯茎は下がりやすいのか?

✅ 下の前歯を支える顎の骨は、歯の中で最も薄い部分

➡ そのため、歯茎が下がりやすい 傾向があります。

✅ 矯正治療を受けた方は、特に注意が必要!

➡ 矯正によって歯が移動すると、歯の根の位置が顎の骨から少し飛び出してしまうことがあり、その結果、歯茎がさらに下がりやすくなります。

 

歯茎が下がり始めたら、早めの対処が重要!

下の前歯の裏側の歯茎は、一度下がってしまうと回復が難しい ため、

「歯茎が薄くなってきた」「下がり始めた気がする」と感じたら、できるだけ早めに歯茎の再生治療 を検討することをおすすめします。

✅ 早めの治療で、歯茎の厚みを増やし、将来的な歯茎の後退を予防 できます。

 

💡 神田ふくしま歯科では、経験豊富なドクターが無料カウンセリングを実施しています!

歯茎の下がりが気になる方は、お気軽にご相談ください。


下の前歯の裏側の歯茎が下がってしまうとは?

下の前歯の裏側の歯茎が薄く、ほんの少し歯茎が下がり始めてしまっています。
下の前歯の裏側の歯茎が薄く、ほんの少し歯茎が下がり始めてしまっています。

下の前歯の裏側の歯茎が薄く、ほんの少し歯茎が下がり始めてしまっています。将来的に歯茎が下がるのを予防するために歯茎の再生治療を行いました。

 

下の前歯の裏側の歯茎が厚く丈夫になっています
下の前歯の裏側の歯茎が厚く丈夫になっています

下の前歯の裏側の歯茎が厚く丈夫になっています。将来的な歯茎の退縮予防に役に立ちます。

 

歯茎の再生治療に関してご存知ない方は、下記のリンクページをクリックしてご覧ください。

 

歯茎の再生治療のページ

続きを読む